Появление на слизистой оболочке ротовой полости различных ранок, кист, наростов и опухолей – довольно распространенное в стоматологической практике явление, которое чаще всего встречается вследствие механического повреждения дёсенной ткани.
При экстракции зуба и недостаточно тщательном соблюдении рекомендаций лечащего врача во время реабилитационного периода, могут возникать различные осложнения, связанные с поражением костной и мягкой ткани. Одним из них является развитие челюстного экзостоза.
Общее представление
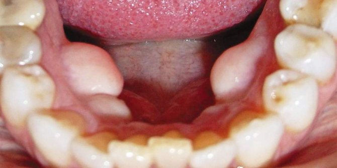
Экзостоз ротовой полости представляет собой разрастание костной и хрящевой ткани в определенном участке челюстного ряда. Визуально оно выглядит как шишка или узелок, который склонен к быстрому увеличению.
Острые края отвердевшей хрящевой ткани, формирующей экзостоз, могут повреждать покрывающую его слизистую оболочку, приводя к травмированию и возникновению сильной боли, затрудняющей процесс открытия ротовой полости и приема пищи.
На верхней челюсти экзостозные образования чаще всего локализуются в области жевательных элементов с внешней или внутренней стороны ряды. При поражении нижней челюсти наросты формируются у основания резцов, клыков и премоляров.
Как правило, хрящевые наросты носят доброкачественную структуру, однако известны случаи их трансформации в злокачественные новообразования.
Что такое экзостоз
Как и многие медицинские термины, этот пришел из греческого языка («экзо» – снаружи, «остеос» – кость), то есть еще древние греки сталкивались с таким явлением и довольно подробно его описывали.
Причины возникновения
Чаще всего причиной формирования экзостоза является наследственность. В этом случае участки незначительного разрастания кости или хряща наблюдаются уже в детском возрасте.
При отсутствии роста и причиняемого дискомфорта специалист рекомендует регулярный контроль без хирургического вмешательства.
Помимо генетического фактора, экзостоз может быть вызван следующими причинами:
- травмирование челюстных рядов, их переломы, вызывающие откол фрагментов костной ткани с последующим неправильным сращением;
- инфекционные воспалительные процессы, в результате протекания которых костная ткань атрофируется и разрушается;
- патологическое строение челюстных рядов, вследствие чего формируется искривление костной ткани и происходит образование наростов;
- гормональные нарушения, из-за которых меняется качественный состав кости, вызывая ее разрушение и подверженность формированию наростов.
Стоматологи также отмечают, что очень часто развитие экзостоза является следствием сложной экстракции зуба.
Причиной разрастания костной ткани в этой ситуации является отсутствие естественного сглаживания краев лунки, неправильное сращение костной ткани либо чрезмерное травмирование надкостницы при проведении процедуры.
Рассмотрим степени атрофии альвеолярного отростка и методы исправления ситуации.
Заходите сюда, если интересуют показания и противопоказания к реплантации зуба.
Причины экзостоза во рту
Основная причина — удаление зубной единицы и особенности восстановления краев лунки. При сложном удалении повышается риск нарушения этапов восстановления, края лунки не сглаживаются, а приводят к уплотнению и формированию костных шипов.
Другими причинами выступают:
- Травмы челюстных костей любой сложности.
- Перенесенные операции на челюсти.
- Сложное удаление зуба.
- Имплантация фрагментов челюсти перед протезированием.
Важную роль в формировании челюстных остеофитов играет наследственность, заболевания, связанные с нарушением связывания кальция и фосфора, органная недостаточность с выраженными метаболическими нарушениями. Способствовать развитию патологии могут такие факторы:
- Инфекции и воспаления, приводящие к разрушению кости (свищи, флюсы, сепсис и другие).
- Аномалии развития костей, зубов любой природы.
- Эндокринные расстройства и заболевания.
- Кистозные процессы.
- Осложненный стоматологический анамнез.
При отсутствии способствующих факторов, запустить процесс формирования экзостозов может удаление зуба мудрости с проведением дополнительного разреза десны, дренажа.
Симптомы
Начальная стадия развития заболевания характеризуется отсутствием выраженной симптоматики, поэтому на данном этапе выявление экзостоза возможно лишь во время стоматологического осмотра.
Специалист сможет определить наличие участка разросшейся ткани и предположить причину его возникновения.
По мере прогрессирования заболевания симптомы становятся более заметными:
- на десне прослеживается бугорок, покрытый слизистой оболочкой, которая может выглядеть неизмененной либо покрыться мелкими шипами;
- нарост увеличивается в размере и из горошины может превратиться в крупную шишку, которая вызывает дискомфорт и мешает полноценному расположению языка;
- возникают болевые ощущения различной интенсивности;
- слизистая оболочка постепенно приобретает насыщенный розовый оттенок;
- возникает нарушение проходимости кровеносных сосудов, расположенных в полости рта;
- нарушается степень подвижности нижней челюсти.
Классификация
Экзостоз бывает солитарного и множественного типа. Их появление провоцируют разные причины. Поговорим о каждой разновидности отдельно.
На заметку! Излюбленными местами локализации экзостоза являются бедренные и большеберцовые кости. На их долю выпадает около 50% случаев заболевания.
Солитарный
Это единичный малоподвижный дефект. Нарост сдавливает близлежащие капилляры и нервные корешки, а также вызывает интенсивные боли. Солитарный экзостоз – это патология приобретенного характера, которая чаще всего возникает вследствие травм, воспалений и инфекционных процессов.
Множественный
Еще называют хондродисплазией. Характеризуется формированием нескольких наростов в различных частях. При увеличении в размерах происходит повреждение и деформирование суставов. Множественный экзостоз передается на генетическом уровне.
Хондродисплазия вызывает сильнейшие суставные деформации, карликовость, контрактуры, а также гигантизм и непропорциональность отдельных костей. У таких пациентов может быть слишком длинное бедро при короткой голени, короткие пальцы, туловище и при этом большая голова.
У детей с хондродисплазией деформируются суставы
В зависимости от формы нароста экзостоз бывает:
- Шаровидным. Сопровождается интенсивными болями в стопе.
- Грибовидным. Характеризуется сдавливанием нервных волокон. Стопа утрачивает нормальную чувствительность.
- Шиповидным. Резкий болевой синдром охватывает всю поверхность стопы.
На десне
Наросты могут быть сформированы даже в ротоглотке. В патологический процесс вовлекаются обе челюсти. Экзостоз на десне может быть обусловлен целым рядом причин:
- общее воспаление организма;
- удаление зуба;
- эндокринные сбои;
- адентия (отсутствие зубов);
- особенности анатомического строения.
На ребрах
Остеохондромы на ребрах – это достаточно распространенное явление. Обычно диагностируется у детей после восьми лет.
Образование может быть сформировано в любом ребре. Оно появляется где угодно: спереди, сзади, с внутренней или наружной стороны. Диагностировать возможно нарост более одного сантиметра и то не всегда.
В большинстве случаев остеохондрома является результатом перелома ребер. Диагностика экзостоза с внутренней стороны на ранних стадиях затруднена. Связано это с тем, что на рентгенограмме хрящи незаметны.
Как правило, экзостоз ребер протекает бессимптомно. В некоторых случаях возникают типичные признаки межреберной невралгии. Все зависит от размера нароста и места его локализации.
Позвоночника
Экзостоз тел позвонков проявляется в виде периодических ноющих болей в спине. Длительное время патология не видна на рентгеновском снимке.
Остеохондрома больших размеров способна выйти за пределы позвонка. Это приводит к появлению сильных болей и неврологических симптомов в виде судорог, головокружения, одышки, потери чувствительности, нарушений мочеиспускания.
Бедренной кости
Экзостоз большой берцовой кости и бедра может достигать пятнадцати сантиметров в диаметре. Проявляется в виде боли, покалывания, онемения, ухудшения циркуляции крови. Одна нога становится короче другой.
Пятки
Характеризуется появлением наростов на подошвенной части пятки. Характеризуется сильными болями после длительного пребывания тела в неподвижном состоянии, а также после физической активности ближе к вечеру. Уплотнение в пятке можно легко нащупать. Мягкие ткани вокруг остеохондромы отекают. Кожные покровы в проблемной зоне огрубевают. При отсутствии своевременного лечения происходит постепенная деформация пальцев и снижение двигательной активности стопы.
Показания и противопоказания к операции
Стоматологи отмечают, что обязательное хирургическое вмешательство по устранению экзостоза требуется в следующих ситуациях:
- при ускоренном росте новообразования;
- в случае возникновения у пациента сильных болей и дискомфорта;
- во время планирования дальнейшего ортопедического лечения, которое становится невозможным при наличии выростов костной ткани;
- при значительных косметических дефектах лицевой зоны, связанных с увеличением нароста.
При планировании операции также стоит обратить внимание на особенности функционирования организма человека, при которых удаление экзостоза запрещено.
Стоматологи называют следующие противопоказания к проведению процедуры:
- некоторые заболевания крови, в том числе нарушение ее свертываемости и повышение уровня сахара;
- заболевания щитовидной железы и надпочечников;
- гормональный дисбаланс;
- периоды обострения хронических заболеваний.
Лечение для детей
Когда экзостозная хондродисплазия была выявлена у больного младше 18 лет, хирургических манипуляций не требуется. Костное образование полностью способно устраниться после совершеннолетия. Иногда возникают состояния, когда операции не миновать:
- сильные болевые ощущения в месте расположения дефекта;
- сковываются движения;
- нарастание большого размера;
- опухоль прогрессирует в росте;
- защемляются нервные корешки и капилляры;
- высокий риск приобретения разрастания злокачественного характера;
- явный косметический дефект.
Когда в организме выявили много экзостозов у детей, удаляют только тот, который выступает причиной проблем. Стоимость вмешательства стоит от 15.000 рублей. Большинство родителей проводят терапию нетрадиционными методами. К ним относят аппликации, отвары и настойки. Они не вредят здоровью, но и не борются с заболеванием. Можно употреблять травяные отвары, они укрепят организм. Ниже приведены актуальные рецепты.
Подготовка
Хирургическое вмешательство является единственной возможностью удаления нароста костной или хрящевой ткани с поверхности челюстного ряда, поэтому для обеспечения благоприятного исхода требует тщательной подготовки.
Во время первичного приема пациента стоматолог выясняет его жалобы и проводит визуальный осмотр ротовой полости с целью выявления видимых патологий. На данном этапе нередко выявляется ряд сопутствующих заболеваний: кариес, воспаление дёсен или пародонта, которые требуют лечения.
Для определения точного расположения нароста, его формы, размера и характера специалист направляет пациента на рентгенографическое исследование. Выполненный снимок является основанием для постановки точного диагноза и составления плана лечения.
На этапе подготовки к операции стоматолог направляет пациента на сдачу анализов, при помощи которых можно выявить дополнительные заболевания, препятствующие проведению процедуры. Так, обязательными шагами являются проверка крови на свертываемость и уровень сахара, оценка баланса гормонов и работы надпочечников.
На подготовительной стадии специалист также определяется с вариантом введения обезболивающего препарата.
Зачастую хирургическое вмешательство по удалению экзостоза осуществляется с применением местной анестезии, однако в некоторых ситуациях может потребоваться общий наркоз.
Прежде чем его вводить, специалист уточняет у пациента наличие аллергической реакции, предыдущий опыт перенесения обезболивания.
Диагностика
Развиваются наросты медленно, из-за этого, человек замечает уже большое образование при пальпации. Чтобы своевременно выявить проблемы, нужно пройти ряд обследований.
- Рентген. Специальный аппарат не фиксирует хрящевые элементы, расположенные вокруг остеохондромы. Из-за этого, нарост по факту является больше, чем на снимке рентгенологического исследования.
- Доктор слушает жалобы больного, оценивает их, проводит зрительный осмотр. Обычно врач спрашивает, не было ли в роду родственников, страдающих этой патологией.
Зачастую, для постановки диагноза достаточно только рентгена. Он показывает:
- стадию развития состояния;
- их форму;
- количество наростов.
При костном поражении редко выявляется онкология, все же нужно сдать биопсию и выявить клеточный состав ткани образования. Если опухоль растет, обязательно сделать этот анализ.
Хирургическое вмешательство
Процедура удаления экзостоза начинается с обезболивания участка ротовой полости, который предполагается оперировать.
Перед введением общего наркоза специалист выясняет, нет ли у пациента индивидуальной непереносимости препарата при помощи специального теста.
После введения анестетика, специалист выполняет следующую последовательность действий по удалению экзостоза:
- Обеззараживание ротовой полости при помощи специальных дезинфицирующих препаратов, что устраняет риск инфицирования мягких и костных структур во время проведения операции.
- Выполнение надреза дёсенной ткани с целью получения доступа к хрящевому наросту. Для выполнения данной операции стоматолог использует скальпель подходящего размера.
- Удаление нароста. В зависимости от выбранного метода проведения процедуры на данном этапе может применяться стоматологическое долото или лазер, при помощи которых новообразование аккуратно срезается с поверхности костной ткани.
- Шлифовка обработанного участка. Для создания ровной поверхности и удаления мелких частиц хрящевой структуры, что препятствует рецидиву заболевания в будущем, костная ткань осторожно шлифуется при помощи стоматологической бормашины. Во избежание перегрева кости специалист следит за своевременным охлаждением обрабатываемого участка.
- Наложение швов на иссеченный участок дёсенной ткани и фиксация стерильной повязки.
Длительность операции по удалению экзостоза зачастую не превышает 2 часов. При использовании лазера время уменьшается до 40—50 минут.
Начистоту о гемисекции зуба — это эффективная операция или кратковременная отсрочка удаления.
В этой статье мы расскажем о последствиях удаления импланта зуба.
Удаление экзостоза в стоматологии
После получения результатов диагностических исследований врачом решаются основные вопросы: Как лечить экзостоз? Требуется ли хирургическое вмешательство?
При обнаружении экзостоза на десне при плановом осмотре стоматологом образование остается без лечения и ставится под динамическое наблюдение.
В случаях, когда причиной патологии являются нарушения функции органов гормональной или кровеносной системы, есть шанс избавиться от нароста путем лечения сопутствующего заболевания без операционного иссечения опухоли. В других же случаях хирургическое лечение обязательно. Операция имеет свои показания и противопоказания.
Показания и противопоказания к удалению
Как любое хирургическое вмешательство, удаление экзостоза в стоматологии имеет ряд показаний и противопоказаний.
| Показания | Противопоказания |
| 1. Быстрое увеличение экзостоза в размерах. | 1. Заболевания надпочечников. |
| 2. Дискомфорт, препятствующий ведению полноценной жизни. | 2. Сахарный диабет 1 и 2 типа. |
| 3. Нарушения эстетичности и конфигурации лица. | 3. Болезни крови и кровеносных сосудов. |
| 4. Возможность перерастания доброкачественного новообразование в злокачественное. | 4. Нарушения функции органов гормональной системы. |
| 5. Скорое ортопедическое лечение. | 5. Бактериальные или грибковые инфекции в полости рта. |
Как проходит операция по удалению экзостоза в стоматологии
Операция проводится после мандибулярного (проводникового) местного обезболивания. Удаление осуществляется с помощью специального лазера, позволяющего предотвратить кровотечение во время хирургического вмешательства.
Этапы удаления экзостоза в стоматологии:
- С помощью аппарата выполняется надрез на десне, после чего слизистая ткань отслаивается от поверхности костного нароста.
- Экзостоз спиливается специальными борами стоматологической бормашины.
- Костное основание челюсти шлифуется до создания абсолютной гладкости.
- Накладываются швы аккуратными стежками с небольшим отступом.
Как правило, при надлежащем уходе за полостью рта после операции раны заживают быстро без возникновения осложнений.
Возможные осложнения
Нередко после удаления экзостоза в полости рта в течение 1-2 суток наблюдается увеличение температуры тела до 38 градусов. Такое явление считается нормальным и объясняется активизацией работы лейкоцитов в крови на фоне воспалительного участка десны.
Другие осложнения могут возникать лишь при несоблюдении рекомендаций специалиста. Плохая гигиена ротовой полости, употребление горячей пищи, и курение могут замедлить регенерацию тканей, привести к расхождению швов и вызвать воспалительные процессы.
Помимо внешних факторов, осложнить заживление тканей может ослабленный иммунитет, поэтому врачи-стоматологи после лечения назначают комплекс витаминов и минералов.
Реабилитация
Удаление экзостоза не относится к числу несложных операций, поэтому длительность восстановительного периода чаще всего не превышает недели.
Этого времени достаточно, чтобы дёсенная ткань восстановилась после разреза, а кость приобрела естественную форму.
Для легкого протекания реабилитационного периода и недопущения послеоперационных осложнений пациенту следует выполнять такие правила:
- регулярно принимать назначенные специалистом антибиотики и другие препараты;
- избегать употребления блюд слишком высокой и низкой температуры;
- ограничить физические нагрузки;
- отказаться от курения и употребления алкоголя;
- проявлять осторожность во время ежедневных гигиенических процедур.
Восстановление после операции
Реабилитационный период занимает обычно не больше 2 недель. Если удалялась 1 опухоль, больной может вставать с кровати через сутки. Восстанавливаться нужно в 2 этапа.
- На 1 этапе, требуется соблюдение щадящего двигательного режима. Когда отек уменьшиться, можно постепенно увеличивать физическую активность.
- Второй этап подразумевает возвращение мышцам силы. Человеку назначают определенные упражнения.
Когда мышцы станут крепкими после тренировки, пройдет дискомфорт, это сигнализирует о полном выздоровлении.
Возможные осложнения
Послеоперационные осложнения, связанные с удалением экзостоза, встречаются в медицинской практике достаточно редко, и по опыту стоматологов связаны с несоблюдением пациентом правил прохождения реабилитационного периода.
К последствиям недобросовестного соблюдения рекомендаций врача относят следующие патологические состояния:
- Полное либо частичное расхождение шовного материала. Причиной этого явления могут стать несоблюдение диеты, курение либо механическое повреждение десны во время чистки зубов. Для устранения проблемы следует незамедлительно обратиться к врачу, который обработает поврежденную поверхность и повторно наложит швы.
- Воспаление десны в области шва. Из-за некачественной гигиены ротовой полости в области раны могут скапливаться патогенные микроорганизмы, результат жизнедеятельности которых влечет за собой нагноение и отечность мягкой ткани. Избавиться от этого осложнения можно только при помощи специалиста.
Подведение итогов
Экзостозная болезнь – это распространённая патология опорно-двигательного аппарата. Доброкачественное образование опорно-двигательного аппарата, как правило, обнаруживается у детей и подростков. Формирование костных наростов обычно не представляет никакой опасности для здоровья пациента. По мнению специалистов, остеохондрома связана с генетическими отклонениями, но научного обоснования такая гипотеза пока не получила. Экзостоз небольших размеров не вызывает никаких симптомов и обнаруживается случайно во время обследования. Существуют риски возникновения осложнений и перерождения образования в онкологию. Однако в большинстве случаев аномалия не представляет большой опасности и требует лишь постоянного наблюдения за пациентом.
Профилактика
По мнению стоматологов, предотвратить развитие экзостоза практически невозможно, поэтому основные профилактические мероприятия направлены на выявление заболевания в начальной стадии развития.
С этой целью необходимо регулярно осматривать ротовую полость при помощи небольшого зеркальца на наличие повреждений слизистой оболочки, припухлостей и наростов.
Тщательно вымытыми руками можно осуществлять пальпацию дёсенной ткани челюстных рядов, нёба и дна полости рта.
При выявлении прощупываемых новообразований необходимо незамедлительно обратиться к стоматологу для профессиональной диагностики.
Помимо этого, не следует пренебрегать регулярными стоматологическими осмотрами, во время которых специалист может обнаружить имеющиеся проблемы челюстных рядов, мягких и костных тканей, а также провести своевременных мероприятия по их устранению.
Диагностика, дифференциальная диагностика экзостоза зуба или челюсти
Диагноз челюстной или зубной экзостоз выставляют на основании жалоб больного, его клинического и жизненного анамнеза, физикального осмотра полости рта, рентгенографии.
Осмотр стоматолога выявляет альвеолярные отростки, при ощупывании костная опухоль безболезненна, неподвижна.
Слизистая над измененной костью истончена, а при ее повреждении приводит к изъязвлению — стоматитам.
На рентгене определяется четкое разрастание кости с четкими очертаниями.
Диагностику заболевания проводит врач-стоматолог или хирург-стоматолог. Патология дифференцируется от любых доброкачественных или злокачественных опухолях кости.
Цена
Средняя стоимость удаления экзостоза в клиниках столицы Российской Федерации достигает 2000—2500 рублей. В городах страны, удаленных от Москвы, эта цифра может быть значительно ниже – от 800 до 1500 рублей.
Следует также помнить, что помимо проведения самой процедуры, некоторые клиники выставляют отдельную оплату за консультацию специалиста, выполнение рентгеновского снимка и введение анестезии.
В этом случае итоговая стоимость хирургического вмешательства может увеличиться на 800-2000 рублей.
Отзывы
Большинство людей, испытавших на себе процедуру удаления экзостоза, отзываются об операции положительно, отмечая, что ее проведение не вызвало каких-либо осложнений и последствий.
Стоматологи также утверждают, что при соблюдении всех правил прохождения послеоперационного периода и точном сообщении пациентом имеющихся у него сопутствующих заболеваний, удаление хрящевого нароста не вызовет возникновения каких-либо проблем.
Причины и факторы риска
Большинство специалистов утверждают, что патологические изменения развиваются из-за генетической склонности, но научно это не подтверждено. К общим причинам относят:
- воспалительные поражения;
- травматизация;
- сбои в развитии хрящей и надкостницы;
- эндокринные дисфункции;
- инфекционные поражения разного происхождения;
- переизбыток кальция.
Последнюю причину считают наиболее часто встречаемой, отложение кальция происходит именно на костях, формируются деформации. Появляется переизбыток вследствие излишнего потребления молочной продукции, зелени, яиц, капусты и жесткой воды.
Интересно! У болезни существует второе название – остеохондрома. Таким обозначением в медицине называют костную опухоль доброкачественного типа, состоящую из костно-хрящевых тканей. Обычно встречается у лиц в пубертатном периоде.


